Proprio in Italia è avvenuta una scoperta importante in fatto di contrasto al tumore ai polmoni. Il traguardo raggiunto è di enorme importanza.
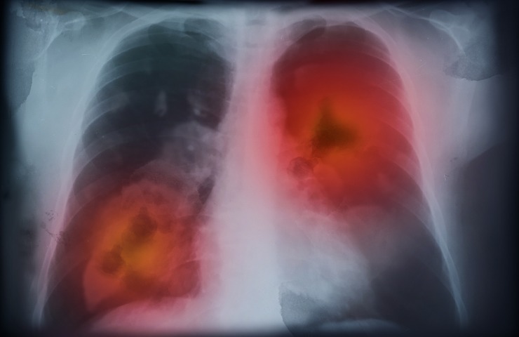
Il tumore ai polmoni è tra le malattie più temibili che ci siano. La principale causa di tale, spaventosa e spesso inesorabile malattia è da attribuire soprattutto all’abuso di fumo. Le conseguenze per i polmoni sono tremende, in tal caso. Ma arriva notizia di un progresso che può essere davvero molto significativo nel concreto per quanto concerne proprio la lotta al tumore ai polmoni. E grazie a dei ricercatori che hanno segnato un passo importante proprio da noi, in Italia.

Si parla infatti di una terapia a bersaglio molecolare per trattare ed eliminare il carcinoma polmonare a non a piccole cellule (NSCLC) Alk-positivo con rischio elevato di recidività. Ed è la prima situazione di sempre in questo senso, relativamente alle terapie a bersaglio. Per terapia a bersaglio si intende un percorso in ambito terapeutico che ha come scopo quello di colpire specifiche componenti, come proteine o molecole malate. Proprio queste sono le responsabili del sorgere e del proliferare di cellule di tumori di vario tipo.
Quanti anni si vive con un tumore ai polmoni?
La ricerca in questione ha portato all’ottenimento di un farmaco apposito da parte di Roche. Farmaco che, sottoposto alla analisi della Agenzia Italiana del Farmaco (AIFA) ha ottenuto il via libero necessario ed è anche rimborsabile.

Sono diverse le forme di tumore ai polmoni, e tra queste spicca proprio il carcinoma polmonare Alk-positivo, che è tra quelle più rare e tende a colpire soggetti giovani persino non fumatori. In media la speranza di vita per questa malattia, a prescindere dalle sue tipologie, va dai dieci ai quattordici mesi.
Il farmaco ricavato è capace di abbassare di ben il 76% il pericolo recidività e di morte, se i suoi effetti vengono confrontati con gli effetti della chemioterapia al platino, che rappresenta la cura standard. Tutto ciò è stato notato in pazienti ai quali il farmaco – chiamato alectinib – è stato sottoposto, e tutti loro si trovavano in una fase iniziale di tumore.
Leggi anche: Cancro alla pelle, sono questi i segnali che ti indicano la sua presenza
Ora c’è una aspettativa di vita maggiore
Tale farmaco riduce sensibilmente pure il diffondersi di metastasi, soprattutto nell’area cerebrale.

Ora si ha a disposizione in tutto e per tutto una terapia mirata contro questa forma di malattia, ed è una ottima notizia visto che, anche intervenendo in maniera precoce, il pericolo recidiva è sempre stato alto.
Leggi anche: Una grossa protezione contro il cancro, te la dà una abitudine da fare ogni giorno
Ed il fatto che i soggetti maggiormente colpiti da carcinoma polmonare Alk-positivo siano in grande prevalenza persone in giovane età è qualcosa di significativo. Infatti offre loro una maggiore aspettativa di vita, cosa che fino ad oggi non era così possibile.





